微信扫码
热线电话
返回顶部

神外科普 l 蛛网膜下腔出血

分享到:
点击次数:970 更新时间:2024年06月12日17:32:50 打印此页 关闭



蛛网膜下腔出血subarachnoid hemorrhage,SAH)指脑底部或脑表面的病变血管破裂,血液直接流入蛛网膜下腔引起的一种临床综合征。


图片

蛛网膜下腔出血科普


01

并发症


图片
本病主要并发症包括再出血、脑血管痉挛、脑积水等,其他并发症包括低钠血症、呼吸功能障碍、高血压、心电图异常、发热、血糖增高、贫血、血小板减少症(血小板减少)、深静脉血栓形成和肺栓塞(在深部静脉产生血栓,血栓通过血流到达肺部,堵塞肺部血管)、头痛等。

再出血
发生率: 2周内累计再出血率20%-25%,1个月时为30%,6个月时为40%,以后每年为2%-4%。
预防方式:抗纤溶药物可用于防止再出血。控制血压也是防止再出血的措施之一。一般情况下,收缩压低于160mmHg是合理的治疗目标。

脑血管痉挛
发生率:动脉瘤性蛛网膜下腔出血发生后,血管造影可发现30%-70%患者出现血管痉挛。
预防方式:维持血容量和血压,早期应用钙通道阻滞剂,早期手术去除动脉瘤。

脑积水
发生率:约15%-20%。
应对方式:可使用乙酰唑胺或手术方式进行防治。

低钠血症(血清钠低于135mmol/L)
发生率:约为10%-30%
应对方式:及时检测血钠水平。氟氢可的松可纠正低钠血症及体液平衡。3%的氯化钠溶液或5%的白蛋白也可有效改善低钠血症。

发热
发生率:最常见。
预防方式:及时治疗蛛网膜下腔出血,若出现发热,给予退热治疗。

血糖增高
应对方式:及时进行血糖监测。一般建议空腹血糖控制在10mol/L以下。除遵医嘱药物治疗和管理日常饮食生活降血糖以外,还需积极治疗原发病即引起血糖增高的蛛网膜下腔出血。

血小板减少症
发生率:肝素诱发的血小板减少症发生率约为5%。
应对方式: 及时检测血常规。血小板减少是指血液中血小板计数<100x109L。输注血小板可用于缓解患者的出血症状,恢复和维持人体正常止血和凝血功能。最重要的是积极治疗原发病,即引起血小板减少的蛛网膜下腔出血。

深静脉血栓形成和肺栓塞
常见的并发症。
预防方式:可以使用弹力袜。高危患者可使用间断的充气压力装置进行预防。但是预防血栓需要使用低分子肝素的时间应控制在动脉瘤手术或栓塞12 h以后。

头痛
应对方式:出现头痛时,给予止痛治疗。

02

症状


图片

突然发生剧烈头痛,呈胀痛或爆裂样疼痛,难以忍受。可以是局部痛,也可以是全头痛,有时脖子上段也可以出现疼痛,持续不能缓解或越来越重;大多伴有恶心、呕吐;可以有意识不清晰或烦躁、幻觉、说胡话等精神症状,少数出现癫痫发作。发病几小时后可以出现脑膜刺激征(脖子僵直、头疼、呕吐等)。部分患者眼底镜检查可以发现玻璃体膜下出血、视乳头水肿或视网膜出血。

典型症状
蛛网膜下腔出血的典型症状有:
1.头痛与呕吐:突发剧烈头痛、呕吐、颜面苍白、全身冷汗。
2.意识障碍和精神症状:多数患者无意识障碍,但可有烦躁不安。危重者可谵妄,不同程度的意识不清甚至昏迷,少数可出现癫痫发作和精神症状。
3.脑膜刺激征:青壮年病人多见且明显,表现为脖子僵直、头疼、呕吐等。
早期症状
剧烈头痛、恶心、呕吐和脑膜刺激征,伴或不伴局灶体征(眼睛不能动、轻微偏瘫、不能说话或者感觉障碍)。
中期症状
上述症状缓解
晚期症状
上述症状逐步消失。

伴随症状
伴或不伴局灶体征(眼睛不能动、轻微偏瘫、不能说话或者感觉障碍)。

病情发展
早期一般突然起病,在数秒钟或数分钟内发生头痛是最常见的起病方式。患者常能清楚地描述起病的时间和情景。
发病前多有明显诱因,如剧烈运动、情绪激动、咳嗽、饮酒等;少数可在安静情况下发病。约1/3患者动脉瘤破裂前数日或数周有头痛、恶心、呕吐等症状。
随着病情发展可出现再出血、脑血管痉挛、脑积水等严重并发症,表现为原有症状加重或重新出现、意识改变、局灶神经功能损害(如偏瘫、失语等)等,致残率、死亡率高。


03

相关检查


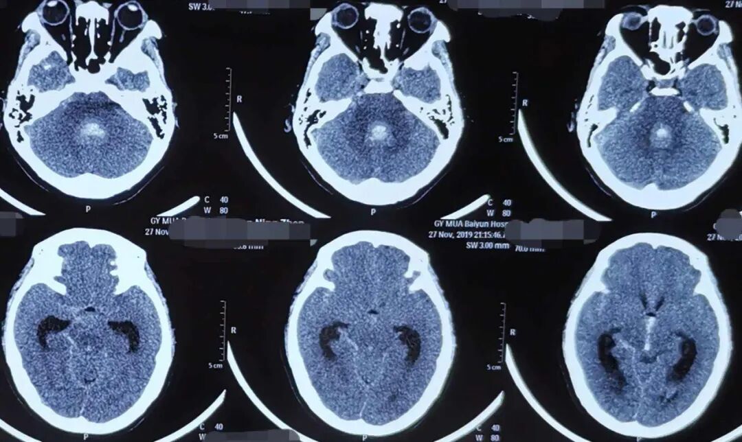
图片
头颅 CT平扫
蛛网膜下腔出血病死率很高,应该尽快行脑血管检查,以明确病因,及时治疗。
CT可发现脑池和脑沟内的高密度影,有时脑室也有高密度出血影。
突发剧烈头痛,并伴有恶心、呕吐、意识障碍、癫、脑膜刺激征阳性及头颅CT检查发现蛛网膜下腔呈高密度影,即可确诊蛛网膜下腔出血。
若头痛不严重,脑膜刺激征不明显,头颅CT检查未发现异常,但仍怀疑蛛网膜下腔出血,则尽早行腰椎穿刺检查,腰椎穿刺结果提示为均匀血性脑脊液,亦可确诊蛛网膜下腔出血。

其他检查项目
CT血管成像(CTA)、共振(MRI)和磁共振管成像(MRA) 、脑(CSF)检查、脑管造影(DSA)、经超声多普勒(TCD)。
CTA可发现动脉瘤等。MRI、MRA和DSA可检测到动脉瘤及颅内出血灶。TCD作为辅助,检测动脉瘤内血流速度。脑脊液检查,可发现大量红细胞。


04

治疗


图片

治疗目的主要是防治再出血、血管痉挛及脑积水等并发症,降低死亡率和致残率。

急性期治疗
保持患者头部在较高位置,侧卧,给与脱水、镇静、止痛、绝对卧床休息,检测血压。出血量大时给与脑室穿刺引流。

一般治疗
蛛网膜下腔出血患者应作为急诊收入医院并进行密切监护,检测生命体征和神经系统体征变化。保持呼吸道通畅,维持稳定的呼吸、循环系统功能。安静休息,避免情绪激动和用力(如咳嗽或用力大便),保持大便通畅。对有颅内压增高者,适当限制液体入量。

药物治疗
由于个体差异大,用药不存在绝对的最好、最快、最有效,除常用非处方药外,应在医生指导下充分结合个人情况选择最合适的药物。
1.预防再出血
为防止动脉瘤周围的血块溶解引起再出血,可酌情选用抗纤维蛋白溶解剂,如氨基已酸、氨甲苯酸(也称止血芳酸)。
2.防治脑血管痉挛
为防治脑血管痉挛,可以使用胶体溶液(白蛋白、血浆)等扩充血容量、升高血压,必要时使用升压药物如多巴胺。早期使用钙通道阻滞剂,常用药物为尼莫地平。
3.治疗脑积水
轻度的急、慢性脑积水,可给与乙酷唑胺治疗,也可选用甘露醇、呋塞米等药物。
4.镇静治疗
烦躁者可给与地西泮类药物镇静,镇痛、镇咳药物可用于有相应症状者。癫痫发作时可以短期应用抗癫痫药物如地西泮、卡马西平或丙成酸钠。
5.降低颅内压
颅内压增高时,临床常用脱水剂降颅压,可用甘露醇、呋塞米、甘油果糖,也可以酌情选用白蛋白。

手术治疗
1.伴发体积较大的脑内血肿时,可手术清除血肿。
2.确诊蛛网膜下腔出血后,应请脑外科会诊,确定有无手术指征。可选用手术夹闭动脉瘤或介入栓塞动脉瘤。
3.防治脑积水,可选用脑室穿刺脑脊液外引流术和脑脊液分流术。

来源:脑科在线

联系我们


不论是地面救护、高铁转运

还是航空医疗转运

我们拥有专业的ECMO团队

也拥有转运MDT团队

严谨求实,精益求精

生命至上,人民至上

是我们的宗旨和信念

重庆晓陆康医疗救援服务中心

  (简称晓陆康医救中心)

为重症患者提供专业的转运就医


 晓陆康医疗救援服务中心不仅承担转运患者责任,更积极承担赛事医疗保障、急救科普培训。


上一条:晓陆康医救中心转运蛛网膜下腔出血患者 下一条:晓陆康医救中心转运心衰患者