微信扫码
热线电话
返回顶部

主动脉夹层诊疗要点总结

分享到:
点击次数:892 更新时间:2024年11月07日07:55:05 打印此页 关闭


一.急性主动脉夹层

主动脉夹层是指由于内膜局部撕裂后受到强有力的血液冲击,内膜逐步剥离、扩展,在动脉内形成真、假两腔,从而导致一系列包括撕裂样疼痛的表现。

急性主动脉夹层是一种极为危险的心脏大血管急症,其中 Stanford型主动脉夹层在发病的前48小时内,每过1小时,死亡率增加1%。及时的诊断和正确的处理、分诊是提高救治率的关键。按照主动脉夹层累及的部位和范围常用的分型方法有 Debakey分型和 Stanford分型(见下图表)
图片
二.【临床表现】本病常发生于50~70岁患者,男女之比为3∶1。视病变部位不同,主要表现如下:

(1)疼痛:夹层分离突然发生时,大多数患者突感疼痛,A型多在前胸,B型多在背部、腹部。疼痛剧烈难以忍受,起病后即达高峰,呈刀割或撕裂样。少数起病缓慢者疼痛可不显著。

(2)高血压:初诊时B型患者70%有血压高。患者因剧痛而有休克外貌,焦虑不安、大汗淋漓、面色苍白、心率加速,但血压常不低甚至增高,如外膜破裂出血则血压降低,不少患者原有高血压,起病后剧痛使血压更高。

(3)心血管症状:夹层血肿涉及主动脉瓣环或影响瓣叶的支撑时发生主动脉瓣关闭不全,可突然在主动脉瓣区出现舒张期吹风样杂音,脉压增宽,急性主动脉瓣反流可引起心力衰竭。脉搏改变,一般见于颈、肱或股动脉,一侧脉搏减弱或消失,反映主动脉的分支受压迫或内膜裂片堵塞其起源。胸锁关节处出现搏动或在胸骨上窝可触到搏动性肿块。可有心包摩擦音,夹层破裂入心包腔、胸膜腔可引起心脏压塞及胸腔积液。

(4)神经症状:主动脉夹层延伸至主动脉分支颈动脉或肋间动脉,可造成脑或脊髓缺血,引起偏瘫、昏迷、神志模糊、截瘫、肢体麻木、反射异常、视力与大小便障碍。2%~7%可有晕厥,但未必有其他神经症状。

(5)压迫症状:主动脉夹层压迫腹腔动脉、肠系膜动脉时可引起恶心、呕吐、腹胀、腹泻、黑便等;压迫颈交感神经节引起Horner综合征;压迫喉返神经致声嘶;压迫上腔静脉致上腔静脉综合征;累及肾动脉可有血尿、尿闭及肾缺血后血压增高。

主动脉夹层的临床表现与并发症见下表:

图片

三.【辅助检查】

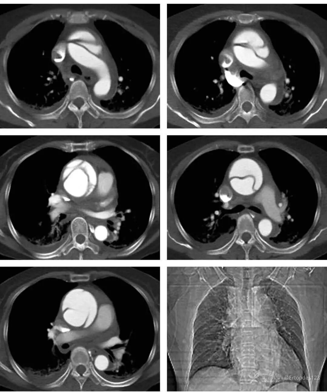
胸部CTA检查提示:升主动脉瘤样扩张,主动脉根窦部上方至主动脉弓平面管腔内均可见内膜片影,使其分成真假两腔,破口位于主动脉根部上方,大小约1.9cm。无名动脉、左颈总动脉及左锁骨下动脉未见受累,两下肺见条状高密影,边缘模糊,心包积液,双侧胸腔积液。(如图)

图片

1.超声心动图表现: 二维超声心动图示主动脉分为真、假两腔
A.左室长轴切面显示主动脉腔内可见撕裂的内膜(箭头)将管腔分为真腔和假腔;
B.胸骨上窝主动脉长轴切面显示升主动脉腔内撕裂的内膜(箭头所示);ARCH:主动脉弓;LPA:左肺动脉;DAO:降主动脉;AV:主动脉瓣;AO:升主动脉。
图片

2.主动脉夹层彩色血流表现
A.胸骨上窝主动脉长轴切面显示升主动脉夹层,假腔与真腔内血流信号相反,假腔内血流呈红色且颜色暗淡,真腔内血流呈蓝色,颜色鲜艳;

B.大血管短轴切面显示撕裂的内膜将主动脉分为真、假两腔,真腔内血流呈红色,假腔内无血流信号显示;FL:假腔;TL:真腔

图片

图片

四.主动脉夹层的急诊处理:
图片
1.控制血压:严格控制血压是保守治疗中延缓夹层进展、减少破裂的最重要的措施。
控制血压的两个核心:①控制收缩压(低于120mmHg);②降低心肌收缩力,减轻血流对血管壁的剪切力。

推荐方案:静脉应用硝普钠+艾司洛尔。

其中,硝普钠可以被乌拉地尔、尼卡地平等替代;但艾司洛尔是不可缺少的药物,因它可以抵消单纯降压药引起的反射性心率、心肌收缩力增加,从而降低夹层破裂的风险。但在应用艾司洛尔前需注意排除主动脉瓣关闭不全。

2.止痛:急性主动脉夹层的疼痛较为剧烈,会增加控制血压的难度,所以,加强止痛治疗非常重要。推荐使用阿片类等强效镇痛药物。急性主动脉夹层的后续治疗

1.急性 Stanford型主动脉夹层的首选治疗方案是急诊手术,所以,一经确诊,首诊医师应在第一时间联系有经验的心血管外科医生进行评估。对于有治疗条件的,则应尽快安排手术;对于无治疗条件的,则应在给予规范降压止痛治疗的前提下尽早转送至上级医院。

2.急性Stanford型主动脉夹层的治疗原则是首选保守治疗,但需排除降主动脉破裂和内脏器官灌注不良等危急情况,因此,后续治疗方案仍需要由富有经验的血管外科医生来判断和确定。

注意事项
1.血流动力学不稳定的 Stanford型主动脉夹层患者往往伴随急性心脏压塞或急性主动脉瓣关闭不全。细致的查体有助于判断病情,床旁心脏彩超可以确定诊断。对于此类患者,应该争分夺秒地争取外科手术。对于因大量心包积血引起循环衰竭而无法存活到外科手术的病例,急诊行心包穿刺可以争取抢救治疗时间。
2.对于有脑卒中或昏迷症状的急性Stanford型主动脉夹层患者,是否适合急诊外科手术尚有争议。毋庸置疑,对于此类患者,深低温停体外循环手术风险较高,难以预估术后神经功能的恢复情况,但国外有报道在发病5h以内行急诊手术,患者有完全康复的可能。

3.当患者出现肠系膜上动脉缺血、急性肾功能不全、下肢急性缺血或截瘫等并发症时,手术的风险较高、预后相对较差。但临床实践中仍有患者在经过手术恢复了真腔供血后,急性缺血情况得到了及时纠正,疗效果较好。因此,对于伴有复杂并发症的急性主动脉夹层患者,外科团队的技术和经验十分关键。有些特殊的患者可以通过介入手段行内膜片打孔以沟通真假腔,或者置入支架以恢复重要脏器血供,从而以杂交的方式取得较好的治疗效果。

来源:急诊急救大平台


联系我们


不论是地面救护、高铁转运

还是航空医疗转运

我们拥有专业的ECMO团队

也拥有转运MDT团队

严谨求实,精益求精

生命至上,人民至上

是我们的宗旨和信念

重庆晓陆康医疗救援服务中心

  (简称晓陆康医救中心)

为重症患者提供专业的转运就医


 晓陆康医疗救援服务中心不仅承担转运患者责任,更积极承担赛事医疗保障、急救科普培训。


上一条:晓陆康医救中心转运主动脉夹层破裂患者 下一条:【健康养生】深秋养生,护肺养阴很重要,学点规矩守护健康~